Erosi gigi adalah kondisi di mana lapisan terluar gigi, yaitu enamel, mengalami pengikisan akibat paparan asam berlebih. Erosi ini bisa menyebabkan berbagai masalah kesehatan gigi, termasuk sensitivitas, nyeri, hingga kerusakan yang permanen. Meskipun tampak sebagai masalah sepele, erosi gigi dapat berdampak serius pada kualitas hidup jika tidak segera ditangani. Dalam artikel ini, kita akan membahas penyebab, gejala, metode pengobatan, serta cara mencegah terjadinya erosi gigi.
Apa itu Erosi Gigi?
Contents
- 1 Apa itu Erosi Gigi?
- 1.1 Penyebab Erosi Gigi
- 1.2 Gejala Erosi Gigi
- 1.3 Pengobatan Erosi Gigi
- 1.4 Pencegahan Erosi Gigi
- 1.5 Erosi Gigi dan Pengaruhnya terhadap Kesehatan Gigi
- 1.6 Erosi Gigi: Masalah Kesehatan yang Perlu Diwaspadai
- 1.7 Penyebab Erosi Gigi
- 1.8 Gejala Erosi Gigi
- 1.9 Cara Mencegah Erosi Gigi
- 1.10 Pengobatan untuk Erosi Gigi
- 1.11 Dampak Jangka Panjang Erosi Gigi
- 2 Author
Erosi gigi adalah proses hilangnya enamel akibat paparan asam yang berkepanjangan. Enamel, yang merupakan lapisan pelindung gigi terluar, sangat kuat, tetapi tetap dapat terkikis jika terkena asam secara Bosjoko terus-menerus. Ketika enamel terkikis, lapisan gigi yang lebih dalam, yaitu dentin, dapat terpapar, menyebabkan rasa sakit dan sensitivitas. Erosi gigi dapat memengaruhi siapa saja, termasuk anak-anak dan orang dewasa.

Penyebab Erosi Gigi
Ada banyak faktor yang bisa menyebabkan erosi gigi, tetapi sebagian besar berkaitan dengan paparan asam yang terlalu sering atau terlalu lama. Berikut adalah beberapa penyebab umum erosigigi:
1. Konsumsi Makanan dan Minuman Asam
Salah satu penyebab utama erosigigi adalah konsumsi makanan dan minuman yang mengandung asam tinggi, seperti soda, jus jeruk, anggur, dan makanan asam lainnya. Asam yang terkandung dalam makanan dan minuman ini dapat langsung merusak enamel gigi dan menyebabkan pengikisan seiring waktu.
2. Refluks Asam Lambung
Orang yang menderita refluks asam lambung atau gastroesophageal reflux disease (GERD) lebih rentan mengalami erosigigi. Refluks asam menyebabkan asam lambung naik ke kerongkongan dan mulut, yang pada akhirnya dapat merusak enamel gigi.
3. Kebiasaan Menyikat Gigi Terlalu Keras
Menyikat gigi dengan tekanan yang terlalu keras juga dapat menyebabkan erosigigi. Meskipun menyikat gigi penting untuk menjaga kebersihan mulut, menyikat dengan terlalu kuat dapat merusak enamel dan mempercepat proses erosi.
4. Mulut Kering
Mulut kering atau xerostomia juga dapat meningkatkan risiko erosigigi. Air liur berperan penting dalam menetralkan asam di mulut dan melindungi enamel. Ketika produksi air liur berkurang, mulut menjadi lebih asam dan enamel lebih rentan terkikis.
Gejala Erosi Gigi
Gejala erosigigi dapat bervariasi tergantung pada tingkat keparahan kerusakan enamel. Namun, beberapa gejala yang umum terjadi pada penderita erosigigi meliputi:
1. Sensitivitas Gigi
Salah satu tanda awal erosigigi adalah peningkatan sensitivitas gigi. Gigi yang terkena erosi akan lebih peka terhadap suhu panas, dingin, dan makanan manis. Sensasi ini dapat berkisar dari ketidaknyamanan ringan hingga rasa sakit yang tajam.
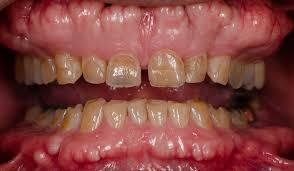
2. Perubahan Warna Gigi
Karena enamel yang terkikis, lapisan dentin yang berada di bawah enamel bisa terlihat. Dentin berwarna kuning, sehingga gigi yang mengalami erosi biasanya tampak lebih kuning atau lebih kusam daripada gigi yang sehat.
3. Permukaan Gigi yang Lebih Kasar
Gigi yang mengalami erosi akan terasa lebih kasar atau tidak rata di permukaan. Ini karena enamel yang terkikis tidak bisa menjaga permukaan gigi tetap halus.
4. Gigi yang Menjadi Lebih Tipis atau Pendek
Pada beberapa kasus erosigigi yang parah, gigi dapat tampak lebih tipis atau lebih pendek dari biasanya. Ini adalah tanda bahwa enamel sudah mengalami kerusakan signifikan.
Pengobatan Erosi Gigi
Pengobatan erosigigi bertujuan untuk memperbaiki kerusakan enamel dan melindungi gigi dari kerusakan lebih lanjut. Metode pengobatan yang dipilih tergantung pada tingkat keparahan erosigigi. Berikut adalah beberapa pilihan pengobatan yang umum digunakan:
1. Fluoride Topikal
Untuk tahap awal erosigigi, dokter gigi mungkin akan merekomendasikan penggunaan fluoride topikal. Fluoride membantu memperkuat enamel yang tersisa dan mencegah pengikisan lebih lanjut.
2. Bonding Gigi
Jika erosigigi menyebabkan kerusakan yang lebih parah, dokter gigi dapat menggunakan bonding gigi, yaitu proses penambalan gigi dengan bahan resin komposit yang menyerupai warna gigi asli. Bonding membantu melindungi gigi yang terkikis dan memperbaiki tampilan gigi yang rusak.
3. Crown Gigi
Untuk erosigigi yang lebih serius, dokter gigi mungkin akan memasang crown atau mahkota gigi untuk melindungi dan memperbaiki gigi yang rusak. Crown terbuat dari porselen atau bahan logam yang kuat dan dapat melindungi gigi dari kerusakan lebih lanjut.
4. Injeksi Desensitisasi
Untuk meredakan sensitivitas gigi yang diakibatkan oleh erosi, dokter gigi dapat memberikan injeksi desensitisasi. Injeksi ini membantu mengurangi rasa sakit dan ketidaknyamanan yang disebabkan oleh sensitivitas gigi.
Pencegahan Erosi Gigi
Meskipun erosigigi adalah masalah yang umum, Anda dapat mencegahnya dengan mengikuti beberapa langkah sederhana dalam menjaga kebersihan dan kesehatan mulut. Berikut adalah beberapa tips pencegahan erosi gigi:
1. Batasi Konsumsi Makanan dan Minuman Asam
Mengurangi konsumsi minuman bersoda, jus buah asam, dan makanan asam lainnya adalah langkah pertama dalam mencegah erosi gigi. Jika Anda mengonsumsi minuman asam, gunakan sedotan untuk meminimalkan kontak langsung dengan gigi dan bilas mulut dengan air setelahnya.
2. Menyikat Gigi dengan Lembut
Gunakan sikat gigi berbulu halus dan teknik menyikat yang lembut untuk mencegah kerusakan enamel. Hindari menyikat gigi segera setelah makan makanan asam karena enamel lebih lemah setelah terkena asam.
3. Gunakan Pasta Gigi dengan Fluoride
Pasta gigi yang mengandung fluoride dapat membantu memperkuat enamel dan melindungi gigi dari erosi. Fluoride membantu remineralisasi enamel dan mencegah pengikisan lebih lanjut.
Hindari Mulut Kering
Pastikan Anda selalu menjaga kelembapan mulut dengan minum banyak air. Jika Anda sering mengalami mulut kering, konsultasikan dengan dokter gigi atau dokter untuk mendapatkan saran lebih lanjut.
:format(webp)/article/TxUycRkIn9B_k-aZO2qI8/original/021872200_1483457234-rubrik-gigi-mulut_2-Jenis-Zat-Asam-Penyebab-Erosi-Gigi.jpg)
Erosi Gigi dan Pengaruhnya terhadap Kesehatan Gigi
Erosi gigi tidak hanya berdampak pada penampilan gigi, tetapi juga dapat memengaruhi kesehatan gigi secara keseluruhan. Jika enamel gigi hilang, gigi lebih rentan terhadap kerusakan, infeksi, dan masalah lainnya. Oleh karena itu, menjaga enamel gigi tetap sehat adalah salah satu langkah penting dalam mencegah masalah gigi yang lebih serius di kemudian hari.
Selain itu, gigi yang mengalami erosi cenderung lebih sensitif, yang dapat mengganggu aktivitas sehari-hari seperti makan dan minum. Jika dibiarkan tanpa pengobatan, erosigigi bisa menyebabkan kerusakan permanen yang membutuhkan perawatan gigi yang lebih intensif dan mahal.
Erosi gigi adalah masalah umum yang dapat terjadi akibat berbagai faktor, termasuk konsumsi makanan dan minuman asam, refluks asam lambung, serta kebiasaan menyikat gigi terlalu keras. Meskipun erosigigi dapat menyebabkan sensitivitas, perubahan warna, dan kerusakan gigi, masalah ini bisa dicegah dan diobati dengan langkah-langkah yang tepat. Dengan menjaga kebersihan mulut yang baik, menggunakan pasta gigi berfluoride, serta menghindari faktor-faktor pemicu, Anda dapat melindungi enamel gigi dan mencegah erosi lebih lanjut.
Erosi Gigi: Masalah Kesehatan yang Perlu Diwaspadai
Erosi gigi adalah kondisi di mana lapisan email gigi secara bertahap terkikis oleh asam yang dihasilkan dari makanan, minuman, atau proses alami di mulut. Email gigi adalah lapisan keras yang melindungi gigi, dan ketika lapisan ini terkikis, gigi menjadi lebih rentan terhadap kerusakan dan masalah kesehatan mulut lainnya. erosigigi dapat menyebabkan berbagai gejala yang tidak menyenangkan, seperti sensitivitas gigi, nyeri, bahkan gigi berlubang. Dalam artikel ini, kita akan membahas penyebab erosigigi, gejalanya, cara mencegah, serta pengobatan yang efektif.
Penyebab Erosi Gigi
Erosi gigi terjadi ketika asam dalam mulut merusak lapisan pelindung email. Ada beberapa faktor yang dapat menyebabkan asam meningkat dalam mulut dan memicu erosi gigi:
- Makanan dan Minuman Asam: Mengonsumsi makanan dan minuman yang sangat asam, seperti soda, jus buah, dan makanan beraroma asam, bisa meningkatkan risiko erosigigi. Asam dari makanan ini secara perlahan melarutkan lapisan email gigi.
- Refluks Asam Lambung: Orang yang menderita refluks asam lambung sering mengalami peningkatan kadar asam di mulut. Asam lambung yang naik ke mulut dapat menyebabkan erosi pada gigi bagian belakang.
- Kebiasaan Buruk: Kebiasaan seperti menggigit benda keras atau membuka kemasan dengan gigi dapat merusak email gigi dan mempercepat erosi. Selain itu, kebiasaan menggosok gigi terlalu keras juga dapat mengikis email.
- Gangguan Makan: Gangguan makan seperti bulimia, di mana seseorang sering muntah, dapat menyebabkan asam lambung yang masuk ke mulut dan mengikis email gigi.
Gejala Erosi Gigi
Gejala erosi gigi bisa bervariasi tergantung pada seberapa parah kerusakan yang terjadi. Berikut adalah beberapa gejala umum yang mungkin muncul ketika erosi gigi mulai terjadi:
- Sensitivitas Gigi: Salah satu gejala pertama yang sering dirasakan adalah sensitivitas terhadap makanan atau minuman panas, dingin, atau manis. Hal ini terjadi karena lapisan pelindung email mulai terkikis, membuat lapisan dentin di bawahnya lebih terbuka.
- Perubahan Warna Gigi: Seiring terkikisnya lapisan email, gigi mungkin tampak lebih kuning, karena lapisan dentin yang berwarna lebih gelap mulai terlihat.
- Bentuk Gigi yang Berubah: Gigi yang terkena erosi sering kali menjadi lebih bulat atau halus di ujung-ujungnya, karena email yang terkikis. Gigi juga bisa tampak lebih pendek.
- Nyeri pada Gigi: Ketika erosi gigi semakin parah, gigi mungkin mulai terasa nyeri, terutama saat menggigit atau mengunyah makanan yang keras.
- Gigi Berlubang: Dalam kasus yang lebih parah, erosigigi dapat menyebabkan terbentuknya lubang pada gigi. Hal ini dapat memperparah kerusakan dan memerlukan perawatan lebih lanjut seperti penambalan atau perawatan saluran akar.
Cara Mencegah Erosi Gigi
Mencegah erosi gigi adalah langkah yang penting untuk menjaga kesehatan gigi jangka panjang. Ada beberapa tindakan pencegahan yang dapat diambil untuk mengurangi risiko erosigigi:
- Kurangi Konsumsi Makanan dan Minuman Asam: Mengurangi asupan minuman bersoda, jus buah, dan makanan asam dapat membantu mencegah kerusakan email gigi. Jika Anda mengonsumsi minuman asam, usahakan untuk menggunakan sedotan agar kontak asam dengan gigi lebih sedikit.
- Minum Air Putih: Air putih membantu menetralkan asam dalam mulut. Setelah mengonsumsi makanan atau minuman asam, berkumur atau minum air putih dapat membantu membersihkan sisa-sisa asam dari mulut.
- Hindari Menggosok Gigi Setelah Mengonsumsi Makanan Asam: Sebaiknya tunggu setidaknya 30 menit setelah mengonsumsi makanan atau minuman asam sebelum menggosok gigi. Ini memberi waktu bagi air liur untuk menetralkan asam dan mengembalikan pH normal mulut.
- Gunakan Pasta Gigi dengan Fluoride: Fluoride dapat membantu memperkuat email gigi yang mulai terkikis. Pilih pasta gigi yang mengandung fluoride untuk membantu melindungi gigi dari erosi.
- Kunjungi Dokter Gigi Secara Rutin: Rutin memeriksakan gigi ke dokter gigi setidaknya dua kali setahun sangat penting. Dokter gigi dapat mendeteksi tanda-tanda awal erosigigi dan memberikan perawatan preventif yang diperlukan.
Pengobatan untuk Erosi Gigi
Jika erosi gigi telah terjadi, ada beberapa pilihan pengobatan yang bisa dilakukan tergantung pada tingkat keparahan kerusakannya:
- Penggunaan Fluoride: Pada tahap awal erosigigi, dokter gigi mungkin akan memberikan perawatan dengan fluoride. Fluoride dapat memperkuat email gigi yang masih tersisa dan melindungi gigi dari kerusakan lebih lanjut.
- Tambalan Gigi: Jika erosi gigi telah menyebabkan gigi berlubang, tambalan gigi mungkin diperlukan untuk memperbaiki kerusakan. Tambalan digunakan untuk menutup area gigi yang hilang atau rusak, sehingga gigi tetap terlindungi dari infeksi lebih lanjut.
- Crown atau Mahkota Gigi: Dalam kasus yang lebih parah di mana email gigi telah terkikis secara signifikan, dokter gigi mungkin akan merekomendasikan penggunaan crown. Mahkota gigi dapat melindungi gigi yang tersisa dan mengembalikan fungsinya secara penuh.
- Perawatan Saluran Akar: Jika kerusakan gigi mencapai bagian dalam gigi dan memengaruhi saraf, perawatan saluran akar mungkin diperlukan. Perawatan ini melibatkan pengangkatan jaringan saraf yang terinfeksi dan pengisian ulang gigi untuk mencegah infeksi lebih lanjut.

Dampak Jangka Panjang Erosi Gigi
Jika erosigigi tidak segera diatasi, masalah ini dapat menyebabkan berbagai komplikasi yang lebih serius. Gigi yang terus terkikis akan menjadi lebih rentan terhadap infeksi dan penyakit gusi. Selain itu, sensitivitas gigi dapat semakin memburuk, menyebabkan ketidaknyamanan saat makan atau minum. Dalam jangka panjang, gigi mungkin memerlukan perawatan yang lebih invasif seperti pemasangan implan atau gigi palsu jika gigi mengalami kerusakan permanen.
Baca Juga Artikel Berikut: Es Cendol Bandung: Kesegaran Tradisional yang Tak Tergantikan





